初めての方へ

超精密義歯(BPS義歯) 現在休止中

BPS義歯

BPS義歯は、アメリカの大学の歯学部では、23校以上が採用しており、世界に認められている唯一の義歯製作技術の認証です。

超精密義歯(BPS義歯)の国際ライセンスを取得

超精密義歯とは、世界的な歯科関連企業である、イボクラール社の生体機能補綴システム(Biofunctional Prosthetic System)のことです。
このBPS義歯は、アメリカの大学の歯学部では、23校以上が採用しており、世界に認められている唯一の義歯製作技術の認証です。

また、あのUCLA大学でも採用している最新の精密義歯システムです。

この度、オオヤ歯科医院はイボクラール社の実技及び認定試験に合格し、超精密義歯(BPS義歯)の国際ライセンスを取得しております!
(名古屋では、まだ2人目となります。)

超精密義歯(BPS義歯)の作成過程

1.超精密義歯(BPS)は、顎の型摂りの器具から違います

これは、超精密義歯(BPS)専用のアキュデントレーです。緻密に顎の形を印記するため、独自の形を採用しています!

このように、採れます!
これはまだまだ最初の型採りです!後ほど2重3重の超精密な型を採って行きます。

2.最初の時点で、顎の位置関係を予測して模型にします

これは、最初の段階で顎の位置関係を予測するための器具です。
セントリックトレーといい、この器具は上下の顎の位置関係を推理するのに欠かせません!!

3.超精密義歯(BPS)の真髄!超精密印象

このように、最初に採った型を元に、その人に合った型採り器具を作り、3種類の硬さの違うシリコンを使い分けて、2~4重の超精密印象を行います!

4.推理した顎の位置関係を更に分析

これは、ナソメーターMと云う、器具です。顎の上下の位置関係を精密に分析します。
右の写真の赤い部分が抜けているのがお分かりでしょうか?
この赤く抜けた所が、顎の動きを記録しています。

5.義歯作成時の材料が従来の物と、まったく違います

これはイボカップシステムと云う超精密義歯(BPS)専用の作成材料です。
この生体材料は、義歯特有の臭いや気泡が出来ず、作成時の誤差がほとんど無い事で、世界的なブランドになりつつあります。

よって、入れ歯から起きる口臭を減らす事も出来る画期的な新素材です!!

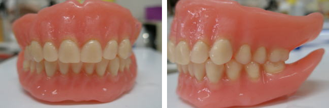
6.いよいよ超精密義歯(BPS)が完成です

これは、超精密義歯(BPS)の独自の噛みあわせの理論に基づいて作成されています。
まるで人工臓器と云うより、芸術品です。

超精密義歯のよくある質問

どのような人が適応になりますか?

この超精密義歯(BPS)は、総義歯(総入れ歯)で全ての歯が無くなった人か、少数の歯が残っている方を適応としています。

上だけ、下だけの作成でも良いですが?

作成可能ですが、できれば上下一緒に作成される事をオススメします。
何故なら、この超精密義歯(BPS)は、独自の噛みあわせの理論により構成されているので、できれば上下一対が良いと思います。

総義歯でも出来ない人はいますか?

元々、義歯自体の異物感がどうしてもダメな方は、どのような精密なものを作成しても異物の違和感を感じてしまうようで難しいです。
現在、最高の総義歯と言われる超精密義歯(BPS)でも、上記のような方は難しいように感じます。

作成期間はどれくらいかかりますか?

作成期間は人それぞれですが、2ヶ月~4ヶ月ほど掛かります。(毎週1回の通院にて)

お値段は?

保険適用では無いので、自由診療となります。
片顎で、415,000円です。これに床を薄くするプレートを入れますと、485,100円です。(全て税別)

この義歯の使用するメリット(長所)を教えてください

ズバリ!顎にピッタリ来るような装着感の良さ!そして独自の理論により可能になった噛み心地の良さに尽きると思います!
患者さんによっては、りんご丸かじりなども可能になりますよ!

予約を取りたいのですが..

超精密義歯(BPS義歯)の作成には、お1人につき長めの予約時間をお取りしております。
よって、時間枠に限りがあり、初診の患者様の人数制限を行っております。
毎月初診は約2名までと限定し、お受けさせて頂いておりますので、余裕のある日時でのご予約をお願い致します。

ページ上部へ戻る
052-861-0677

診療時間内にお電話ください